See real smile transformations created for patients of Vibe Dental. Our dentists will design personalized plans that focus on health, function and appearance. Each case in our gallery reflects the attention to detail Dr. Justin Palmer and associates brings to every visit. Use these photos as inspiration, then call 480-800-8423 to discover what may be possible for your own smile goals.


This smile makeover was completed with a series of porcelain veneers and crowns on the upper teeth to rebuild worn edges, restore broken enamel and create a more even bite line.


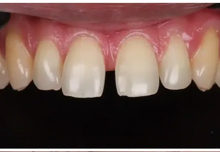
This treatment combined professional teeth whitening with minimal porcelain veneers on the front teeth to brighten discoloration, smooth surface defects and refine overall tooth shape.
Call Us Today
Start Your Dental Journey at Vibe Dental
Every smile in our gallery represents an individual story, including unique health needs and goals. Use these examples to spark questions for your consultation so our team can design a path that fits your own vision for a confident smile.